
小老虎第九次產檢,驗尿ok,血壓………,母親體重65.9KG,兩周共增重1.2KG。
乙型鏈球菌檢驗正常。
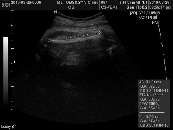
小老虎上次產檢2500公克,這次2600多公克,這兩周吃的東西都長在媽媽身上。
血壓:112/54
心跳:……….
這次又看得到4D照了,相當有肉,臉頰有肉、鼻子有肉、嘴巴也很有肉、連胸部也擠出一團肉~~~
(但是這周ㄚ嬤褒的牛肉卻不愛吃了,印傭炒的蔥爆霜降牛肉卻很下飯)
我一直說可能是因為頭在下被擠壓的關係,所以看起來很有肉啦~不過M醫生卻沒有回我話。

M醫生關心的頭小議題,本周測量頭的大小:8.67cm
如果是8.1cm就有小腦的可能性。
我問醫生那這樣測量不是有落差嗎?
醫生說:頭骨測量是點對點,不像身體是用概括計算的,所以不會有落差,看起來是沒有小腦症的疑慮。

小老虎的大腿骨。
這一次傅把鼻差點又因為加班趕不上參加產檢了。
我七點半進婦產科,我的預約掛號是13,但號碼卻停在33上,害我一時傻眼。
醫生娘坐在掛號台裡頭對正要掛號的一對情侶說明:醫生去接生了,大概還要半個小時。(那對情侶聽到要等這麼久就走人了。)
然後我掏出健康手冊給醫師娘,問她:那晚上的診是不是還沒開始看?
她說是,把我的掛號改成8號。
我趕快打手機給傅,告訴他目前的情況(因為還要等差不多一個多小時我才會看到診),他差不多七點半進公司八點趕回娘家吃晚餐,吃完晚餐再來婦產科還綽綽有餘~
接著,我就上二樓去聽媽媽教室了,這一次的主題是「拉梅茲呼吸法」,我懷馨馨的時候也有上過課,但是呢,有過經驗的通常都會知道,在陣痛時根本忘記要怎麼去呼吸哈氣
所以呢,我邊聽邊望著待產室的門口,看著「產房」那扇門,真有種腳軟的feel~~
(第一胎傻傻的生,第二胎卻怕死了~誰說有經驗就不會怕?誰說的???)

肚子快要爆炸了,37w紀念一拍。





