
小老虎第七次產檢,驗尿ok,血壓ok,母親體重63.6KG。
小老虎上次產檢1500公克,這次2050公克,這四周母體因為深受失眠之苦居然瘦了1.2KG,使得整體體重控制在10KG左右。
血壓:85/53
心跳:101
上次B肝抽血檢驗OK。
下回產檢要檢查乙型鏈球菌,自費項目。

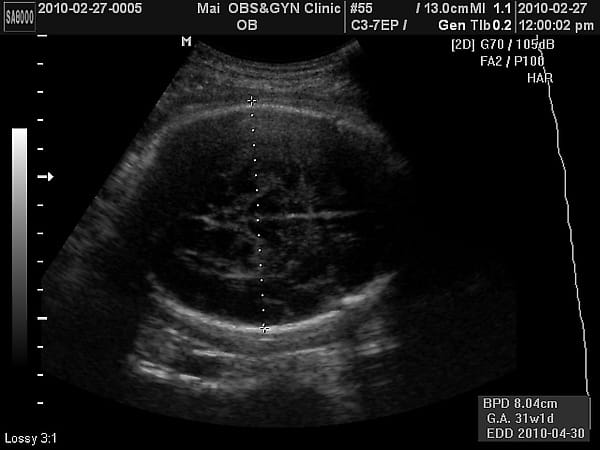
目前小老虎已就定位,這個位置羊水不夠多看不太清楚小老虎,但是呢,看起來眼窩黑黑滴,嘴唇厚厚低。

頭直徑8cm,31周左右的尺寸。醫生說:頭小了點,這是遺傳。
(是說遺傳誰啊?)

大腿和其他部分都是34-35周左右,屬於正常範圍。
下次產檢:3/12
到後期了!





